Book An Appointment
Cosmetic Bonding

Cosmetic Bonding in Las Vegas, NV:
Get The Flawless Smile You Dreamt Of!
Your Smile, Our Priority
At Stunning Smiles, your smile is our priority. Our Las Vegas dentists are committed to providing personalized, high-quality care that meets your unique needs. Don’t wait to achieve the smile of your dreams – contact us today and discover the difference our dental professionals can make!

Before

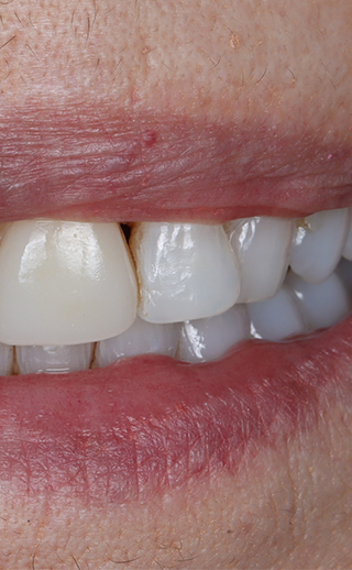
After
What is Cosmetic Bonding and How Can It Help You?
Cosmetic bonding is a versatile and effective cosmetic dental procedure that can transform your smile in just one visit. Our dentist in Las Vegas, NV will apply a tooth-colored composite resin to the affected teeth, sculpting and polishing it to blend seamlessly with your natural teeth. This procedure is perfect for correcting:
- Chipped or cracked teeth
- Discolored or stained teeth
- Gaps or spaces between teeth
- Misshapen or uneven teeth
Unlike other treatments, cosmetic bonding is quick, painless, and requires no removal of healthy tooth structure, making it an excellent choice for those seeking immediate and lasting results.
Why Choose Cosmetic Bonding at Stunning Smiles?
At Stunning Smiles, we prioritize your comfort and satisfaction. Here’s why our dental bonding in Las Vegas, NV, stands out:
- Affordable and Minimally Invasive: Cosmetic bonding is a cost-effective alternative to crowns and veneers, preserving your natural tooth structure.
- Quick and Convenient: Most procedures are completed in a single visit, allowing you to return to your routine with a radiant smile.
- Expert Care: Our skilled dental professionals use advanced techniques and materials to ensure your results are durable and natural-looking.
How Does the Cosmetic Bonding Process Work?
Curious about what to expect during your cosmetic bonding in Las Vegas, NV? Here’s a step-by-step overview:
- Consultation and Shade Matching: Your dentist will discuss your goals and select a resin color that matches your natural teeth.
- Tooth Preparation: The surface of your tooth will be gently roughened to ensure the bonding material adheres properly.
- Application and Shaping: The composite resin is applied, molded, and sculpted to the desired shape and size.
- Curing and Polishing: A special UV light hardens the resin, which is then polished to match the sheen of your natural teeth.
What Can You Expect After the Procedure?
What Are the Benefits of Cosmetic Bonding?
Considering cosmetic bonding? Here are some compelling benefits:
- Instant Results: Enjoy a beautiful smile immediately after your appointment.
- Non-Invasive: Preserve your natural tooth structure with this gentle procedure.
- Versatile Solutions: Address a variety of dental imperfections with a single treatment.
- Long-Lasting: With proper care, your bonded teeth can last for years.
Is Cosmetic Bonding Right for You?
Wondering if teeth bonding is the solution you need? This procedure is ideal for:
- Individuals seeking a cost-effective way to enhance their smile
- Patients with minor cosmetic imperfections
- Those looking for a quick, non-invasive treatment
How to Care for Your Bonded Teeth?
Maintaining the results of your dental bonding is simple with proper care:
- Practice Good Oral Hygiene: Brush twice a day and floss daily to keep your teeth healthy.
- Avoid Hard Foods: Chewing on hard objects can damage the bonding material.
- Regular Dental Visits: Schedule routine check-ups with our dental office to ensure your bonded teeth remain in excellent condition.


Before

After








